Çocuklarda çürük tedavisi, pek çok anne babanın endişe duyduğu bir konudur. Miniklerin ağız sağlığını korumak, onların rahatça yemek yiyebilmesi ve gülümseyebilmesi için atılacak ilk adımlardan biridir. Dişlerde başlayan küçük bir leke, zamanla ağrıya ve daha ciddi sıkıntılara yol açabilir. Bu yüzden süt dişlerindeki çürükleri ciddiye almak ve zamanında müdahale etmek gerekir. Çocukların diş yapısı yetişkinlerden daha hassastır. Bu sebeple onlara uygulanacak yöntemler de kendilerine özeldir.
Çocuklarda Diş Çürüğü Neden Olur?
Çocukların dişleri, özellikle de süt dişleri, çürümeye karşı daha savunmasızdır. Mine tabakaları yetişkin dişlerine kıyasla daha incedir. Bu durum, çürüğün çok daha hızlı ilerlemesine zemin hazırlar. Peki, bu çürükler neden ortaya çıkar?
En bilinen sebep şekerli yiyecekler ve içeceklerdir. Bisküviler, çikolatalar, şekerlemeler veya asitli meşrubatlar dişlerin üzerine yapışır. Ağızdaki bakteriler bu şeker artıklarını yiyerek asit üretir. Bu asitler, dişin koruyucu mine tabakasını yavaş yavaş aşındırır ve çürük dediğimiz oyukları meydana getirir.
Beslenme alışkanlıkları da bu durumu doğrudan etkiler. Çocuklar gün içinde sık sık atıştırma eğilimindedir. Bu durum, dişlerin sürekli asit saldırısına maruz kalmasına sebep olur. Gece uyumadan önce süt içip sonrasında dişlerini fırçalamamak da büyük bir risktir. Özellikle şekerli süt veya ballı süt içerek uykuya dalan bebeklerde biberon çürüğü denen bir tablo ortaya çıkabilir. Bu çürükler genellikle ön dişlerde görülür ve hızla yayılır.
Diş temizliğinin yetersiz kalması bir diğer mühim sebeptir. Küçük çocuklar, dişlerini fırçalarken her noktaya ulaşamayabilirler. Anne babaların bu konuda onlara yardımcı olması ve fırçalamayı denetlemesi gerekir. Doğru fırçalama tekniği öğretilene dek ebeveyn kontrolü şarttır.
Çocuklarda Diş Çürüğü Belirtileri Nelerdir?
Çürük başlangıcını erken fark etmek, tedavinin çok daha basit ve kısa sürmesini sağlar. Anne babaların dikkatle gözlemlemesi gereken bazı işaretler şunlardır:
- Tebeşirimsi beyaz lekeler: Çürüğün ilk habercisi genellikle diş yüzeyinde ortaya çıkan mat, tebeşir rengi lekelerdir. Bu aşamada çürük henüz oyuk haline gelmemiştir ve florür gibi koruyucu uygulamalarla ilerlemesi durdurulabilir.
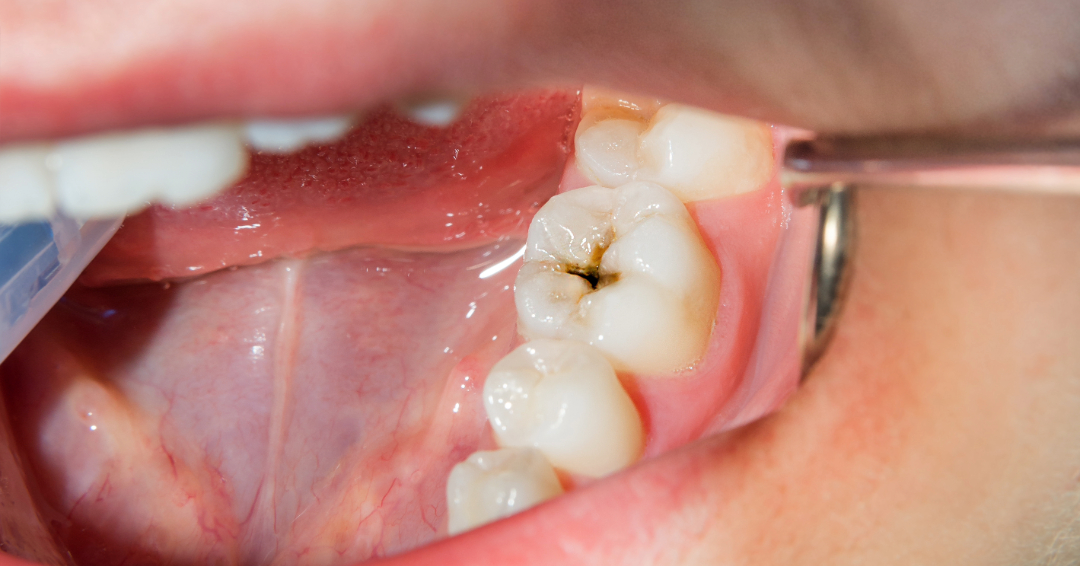
- Kahverengi veya siyah noktalar: Beyaz lekeler müdahale edilmediğinde zamanla renk değiştirir. Kahverengi veya siyah lekelenmeler, çürüğün mine tabakasını aştığının bir işaretidir.
- Gözle görülür oyuklar: Çürük ilerledikçe dişte küçük delikler veya oyuklar belirginleşir. Bu aşamada artık yiyecek artıkları bu boşluklara dolar ve temizlenmesi zorlaşır.
- Ağrı ve hassasiyet: Çocuk, özellikle tatlı, soğuk veya sıcak bir şeyler yediğinde dişinde ani bir sızlama hissediyorsa, bu durum çürüğün derinleştiğini düşündürür. Çiğneme sırasında ağrı da sık rastlanan bir şikayettir.
- Ağız kokusu: Çürük boşluğunda biriken yiyecek artıkları ve bakteriler, sürekli bir ağız kokusuna neden olabilir. Fırçalamaya rağmen geçmeyen bir koku varsa dişlerin kontrol edilmesi iyi olur.
- Yüzde şişlik: Çürük çok ilerleyip dişin köküne ulaştığında apse meydana gelebilir. Bu durum, diş etinde veya yüzde şişlik, şiddetli ağrı ve hatta ateşle kendini belli eder.
Süt Dişi Çürükleri Tedavi Edilmeli mi?
Toplumda “Nasıl olsa düşecek” düşüncesiyle süt dişi çürüğü sıkça ihmal edilir. Ancak bu yaklaşım son derece yanlıştır ve çocuğun gelecekteki ağız sağlığını olumsuz etkiler. Süt dişlerinin pek çok görevi vardır ve zamanından önce kaybedilmeleri çeşitli sorunlara yol açar.
Süt dişleri, çocuğun düzgün beslenmesi için çiğneme işlevini üstlenir. Çürük ve ağrılı bir diş yüzünden çocuk yemek yemekten kaçınabilir. Bu durum onun genel gelişimini bile etkileyebilir. Ayrıca konuşmanın düzgün gelişmesinde ve seslerin doğru çıkarılmasında da süt dişlerinin rolü büyüktür.
En mühim görevlerinden biri de alttan gelecek kalıcı dişler için yer tutmaktır. Bir süt dişi çürüdüğü için zamanından önce çekilirse, yanındaki dişler bu boşluğa doğru kayar. Bu durumda alttan gelmeye çalışan kalıcı diş kendisine yer bulamaz. Çapraşık bir şekilde çıkmaya çalışır veya gömülü kalır. Bu da ileride uzun ve masraflı ortodontik tedavileri zorunlu kılabilir.
Tedavi edilmeyen çürükler enfeksiyona dönüşebilir. Diş kökünde biriken iltihap, hem çocuğa şiddetli ağrı verir hem de alttaki kalıcı dişin tomurcuğuna zarar verebilir. Bu zarar, kalıcı dişte renk ve şekil bozukluklarına neden olabilir.
Çocuklarda Çürük Tedavisi Yöntemleri
Çocuk diş hekimleri, çürüğün durumuna, çocuğun yaşına ve uyumuna göre bir tedavi yolu belirler. Amaç her zaman dişi kurtarmak ve çocuğun bu süreci en rahat şekilde atlatmasını sağlamaktır.
Florür uygulamaları
Eğer çürük henüz başlangıç aşamasındaysa, yani sadece tebeşirimsi beyaz leke halindeyse, diş hekimi florür uygulaması önerebilir. Bu yöntemde dişin yüzeyine sürülen özel jeller veya vernikler, minenin mineral yapısını güçlendirir. Bu sayede çürüğün ilerlemesi durdurulur ve hatta geri döndürülebilir. Ağrısız ve basit bir yöntemdir.
Dolgu (Restorasyon)
Çürük mineyi aşıp dişte oyuk meydana getirmişse, diş dolgusu yapılması gerekir. Bu, çocuklarda en sık başvurulan tedavi yöntemidir. Diş hekimi önce çürük dokuyu özel aletlerle dikkatlice temizler. Sonrasında meydana gelen boşluğu, dişin rengiyle uyumlu kompozit malzemelerle veya daha dayanıklı olan farklı dolgu çeşitleriyle doldurur. Böylece dişin normal fonksiyonunu geri kazanması ve çürüğün ilerlemesinin önüne geçilmesi hedeflenir.
Paslanmaz çelik kronlar (Kuronlar)
Çürük çok geniş bir alana yayıldıysa ve dişte dolgu yapılamayacak kadar büyük bir madde kaybı varsa, paslanmaz çelik kronlar devreye girer. Bunlar, dişin üzerine geçirilen metal birer kaplama gibidir. Özellikle kanal tedavisi görmüş veya aşırı yıpranmış azı dişlerini korumak için tercih edilirler. Dişin tamamen kırılmasını önler ve kalıcı diş gelene kadar yerinde kalmasını sağlarlar.
Kanal tedavisi (Pulpotomi/Pulpektomi)
Derin bir çürük dişin sinirlerine (pulpa) ulaştığında, çocuğun şiddetli ağrı duymasına neden olur. Bu durumda dişi kurtarmak için kanal tedavisine başvurulur. Çocuklarda bu işlem, yetişkinlerden biraz farklıdır.
- Pulpotomi: Çürük sadece dişin taç kısmındaki sinir dokusuna ulaştıysa uygulanır. Dişin köklerindeki sinirler canlı bırakılırken, sadece üst kısımdaki enfekte sinir dokusu alınır.
- Pulpektomi: Enfeksiyon dişin köklerindeki sinirlere kadar yayıldıysa, hem taç hem de kök kısmındaki sinirlerin tamamen temizlenmesi gerekir.
Bu işlemlerden sonra dişin üzeri genellikle paslanmaz çelik bir kron ile kaplanır. Bu tedavi, dişin çekilmesini önleyen çok değerli bir yöntemdir.
Diş çekimi ve yer tutucular
Eğer diş, enfeksiyon veya çürük nedeniyle kurtarılamayacak durumdaysa, son çare olarak çekilmesi gerekir. Ancak daha önce de söylediğimiz gibi, bir süt dişinin erken çekilmesi, kalıcı dişler için sorun yaratır. Bu sorunun önüne geçmek için diş çekildikten sonra boşluğa bir yer tutucu apareyi takılır. Bu aparey, yandaki dişlerin kaymasını engelleyerek alttan gelecek kalıcı dişin yerini korur. Böylece gelecekteki olası bir çapraşıklık riski azaltılmış olur.
Ankara’da Çocuk Diş Tedavisi İçin Güvenilir Bir Adres
Çocuklarda çürük tedavisi sürecinde, tedavinin kendisi kadar çocuğun kendini rahat ve güvende hissetmesi de önemlidir. Seçilen kliniğin atmosferi, hekimin yaklaşımı ve kullanılan teknoloji, bu sürecin sorunsuz geçmesinde belirleyici rol oynar.
Ankara Çankaya’da bulunan kliniğimiz Estelite Dental Clinic, ailelere ve çocuklara modern ve konforlu bir ortam sunuyor. 2020 senesinden beri “Gülüşünüz Bizim Uzmanlık Alanımız” ilkesiyle hareket ediyoruz. Dr. Kübra Kirişci (Protez ve Estetik Diş Hekimliği Uzmanı) ve Dr. Mustafa Burak Kirişci (Ağız, Diş ve Çene Cerrahisi Uzmanı) önderliğindeki ekibimizle, her hastamız için en uygun tedavi planını hazırlıyoruz. Kliniğimizde bulunan 3D dijital röntgen (CBCT) ve ağız içi tarayıcı gibi güncel teknolojiler sayesinde teşhis ve tedavi süreçlerini hem daha isabetli hem de çocuklar için daha kolay hale getiriyoruz. Çocuğunuzun sağlığı ve rahatı bizim için her şeyden önce gelir. Hijyen kurallarından ödün vermeden, bilimsel ve güncel yöntemlerle en iyi hizmeti vermek için çalışıyoruz. Sağlıklı bir gülüşe kavuşmak için bizimle iletişime geçebilirsiniz.
Çocuklarda Diş Çürüğü Nasıl Önlenir?
Tedavi ne kadar başarılı olursa olsun, asıl hedef çürüklerin hiç meydana gelmemesidir. Bunun için anne babaların alabileceği basit ama etkili önlemler vardır.
- Doğru diş fırçalama: Çocukların dişleri, ilk diş çıktığı andan itibaren temizlenmelidir. İlk başlarda temiz bir bez veya parmak fırçalarla, 2 yaşından sonra ise yaşına uygun bir diş fırçası ve florürlü diş macunu ile fırçalama yapılmalıdır. Macun miktarı bir pirinç tanesini geçmemelidir. Çocuk kendi kendine fırçalayacak yaşa gelse bile, okul çağına kadar ebeveyn denetimi ve yardımı devam etmelidir.
- Sağlıklı beslenme alışkanlıkları: Şekerli ve yapışkan gıdaların tüketimini sınırlandırmak en temel kuraldır. Ara öğünlerde cips veya bisküvi yerine elma, havuç gibi lifli gıdalar tercih edilebilir. Şekerli içecekler yerine su veya ayran içme alışkanlığı kazandırılmalıdır.
- Düzenli diş hekimi kontrolü: Çocukların hiçbir şikayeti olmasa bile 6 ayda bir diş hekimine götürülmesi gerekir. Bu kontrollerde olası bir çürük başlangıcı erken tespit edilebilir. Hekim, koruyucu uygulamalar olan florür veya fissür örtücü gibi yöntemlerle dişleri daha dirençli hale getirebilir.
Çocukların ağız sağlığı, onların genel sağlığının bir yansımasıdır. Süt dişlerine gösterilecek özen, onlara ömür boyu sürecek sağlıklı bir gülüş armağan etmenin ilk adımıdır. Erken teşhis ve doğru müdahale ile en zorlu görünen çürükler bile kolayca tedavi edilebilir.


