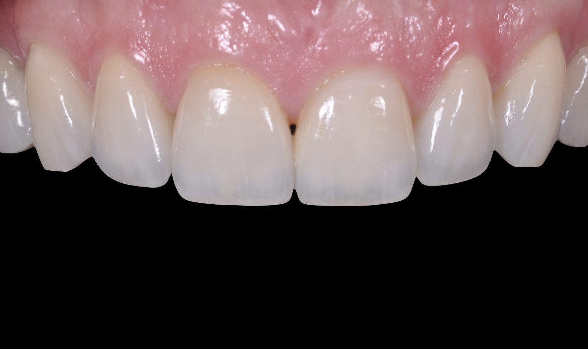
Yaprak porselen yaptırmayı düşünenlerin aklına ilk gelen sorulardan biri bu tedavinin ne kadar kalıcı olduğudur. Dişlerin görünümünü güzelleştirmek için tercih edilen bu yöntem, estetik beklentileri karşılamasıyla bilinir. Dişin ön yüzeyine yapıştırılan çok ince bir porselen tabakası olan bu laminalar, doğru koşullar altında uzun seneler ağızda kalabilir. Genellikle porselen laminaların ömrünün 10 ila 15 yıl arasında değiştiği söylenir. Hatta bazı durumlarda bu sürenin 20 yılı bulduğu bile görülür. Ancak bu süreler kesin değildir. Laminaların ne kadar süre ağzınızda sorunsuz kalacağı, pek çok duruma bağlıdır.
Bu tedavinin kalıcılığı tek bir sebebe dayanmaz. Malzemenin cinsinden hekimin çalışmasına, sizin günlük alışkanlıklarınızdan ağız bakımınıza kadar bir dizi etken, laminate veneer uygulamasının başarısını ve ömrünü doğrudan etkiler. Bu yüzden net bir yıl vermek yerine, ömrü belirleyen koşulları bilmek daha doğru bir yaklaşım olacaktır. Herkesin ağız yapısı, alışkanlıkları ve genel sağlık durumu bir olmadığı için, laminaların dayanıklılığı da kişiden kişiye değişiklik gösterecektir. İyi bir bakımla, bu estetik çözüm uzun yıllar boyunca gülüşünüzü güzelleştirmeye devam edebilir.
Porselen Laminaların Ömrünü Belirleyen Şeyler Nelerdir?
Bir yaprak porselenin ağızda ne kadar kalacağını birkaç temel başlık altında toplayabiliriz. Bunların her biri, yapıştığı dişle bütünleşen bu ince seramik katmanın kaderini çizer. Bir zincirin halkaları gibi, birinin zayıf olması bütünün dayanıklılığını azaltabilir.
Malzemenin kalitesi
Her porselen bir değildir. Laminate veneer yapımında seçilen porselenin cinsi, dayanıklılığı doğrudan belirler. Güncel diş hekimliğinde, güçlendirilmiş cam seramikler gibi malzemeler sıkça tercih edilir. Bu tür malzemeler hem ışığı doğal diş gibi yansıtır hem de çiğneme kuvvetlerine karşı oldukça dirençlidir. Daha düşük kalitedeki bir seramik, zamanla aşınmaya, lekelenmeye veya en ufak bir darbede kırılmaya daha yatkın olur. Kaliteli bir malzeme, rengini uzun seneler korur ve yüzey pürüzsüzlüğünü kaybetmez. Bu da üzerinde bakteri birikimini zorlaştırarak diş eti sağlığına katkıda bulunur. Kısacası, tedavinin en başında doğru malzemenin seçilmesi, uzun ömürlü bir sonucun ilk adımıdır.
Diş hekiminin becerisi ve tecrübesi
İşi yapan diş hekiminin eli, bilgisi ve tecrübesi, belki de en belirleyici unsurdur. Yaprak porselen uygulaması, milimetrik hesaplamalar ve hassas bir çalışma gerektirir. Dişin ön yüzeyinden ne kadar aşındırma yapılacağı, laminanın dişle ve diş etiyle olan uyumu, kenarlarının sızdırmazlığı gibi detaylar tamamen hekimin ustalığına bağlıdır. Hekim, ölçüyü ne kadar hassas alırsa, laboratuvarda hazırlanan lamina da dişe o kadar kusursuz oturur. Uyumsuz veya kenarları tam kapanmayan bir lamina, altına bakteri ve yiyecek artığı sızdırabilir. Bu durum, alttaki dişte çürük başlamasına ve laminanın zamanla düşmesine sebep olabilir. Tecrübeli bir hekim, hem estetik beklentileri karşılar hem de fonksiyonel olarak sorunsuz bir uygulama yapar.
Hazırlık ve yapıştırma aşamaları
Laminaların dişe tutunmasını sağlayan yapıştırıcılar ve bu yapıştırma tekniği, tedavinin kalıcılığını doğrudan etkiler. Diş yüzeyinin yapıştırmaya hazırlanması, özel asitlerle pürüzlendirilir ve ardından “bonding” adı verilen özel reçine esaslı yapıştırıcılar sürülür. Bu işlemler sırasında ortamın tamamen kuru, yani tükürükten arındırılmış olması şarttır. En ufak bir nemlenme, yapıştırıcının dişe tutunma gücünü ciddi oranda azaltır. Yapıştırma kısmı da en az hazırlık kadar titizlik ister. Hekim, laminayı doğru pozisyonda yerleştirdikten sonra özel bir ışık kaynağıyla yapıştırıcıyı sertleştirir. Bu işlem sırasında kenarlardan taşan yapıştırıcıların çok iyi temizlenmesi gerekir. Aksi takdirde bu artıklar diş etini rahatsız eder ve bakteri birikimi için bir alan oluşturur.
Ağız ve diş bakımı alışkanlıkları
Porselen laminaların belki de en büyük düşmanı, yetersiz ağız hijyenidir. Kendi dişinize nasıl bakıyorsanız, laminalara da en az o kadar iyi bakmalısınız. Düzenli fırçalama ve diş ipi kullanımı, lamina ile diş etinin birleştiği sınırı temiz tutar. Bu bölgede biriken plaklar, diş etinde çekilmeye sebep olabilir. Diş eti çekildiğinde ise laminanın kök yüzeyine yakın olan kenarı açığa çıkar. Bu durum hem estetik olarak hoş durmaz hem de alttaki dişin çürümeye karşı savunmasız kalmasına yol açar. Altı ayda bir düzenli olarak diş hekimi kontrolüne gitmek, olası sorunları erkenden fark edip müdahale etme şansı verir. Hekiminiz bu kontrollerde laminaların durumunu, kenar uyumunu ve genel ağız sağlığınızı denetler.
Kişisel alışkanlıklar ve beslenme
Günlük hayattaki bazı alışkanlıklar, yaprak porselenlere farkında olmadan zarar verebilir. Tırnak yemek, kalem ısırmak, dişlerle ambalaj açmak veya buz çiğnemek gibi eylemler, bu ince porselenlerin üzerine aşırı ve ani bir kuvvet bindirir. Bu tür travmalar, laminalarda küçük çatlaklara veya kırılmalara neden olabilir. Beslenme alışkanlıkları da bir o kadar etkilidir. Sert kabuklu yemişleri dişle kırmak, sert şekerleri veya lokum gibi yapışkan yiyecekleri sıkça tüketmek risklidir. Elbette bu, sevdiğiniz her şeyden uzak durmanız gerektiği manasına gelmez. Sadece dişlerinizi bir alet gibi görmekten kaçınmanız, laminalarınızın ömrünü ciddi şekilde uzatacaktır.
Diş sıkma ve gıcırdatma (Bruksizm)
Birçok insanın farkında olmadan, özellikle uykuda yaptığı diş sıkma veya gıcırdatma eylemi, hem doğal dişlere hem de porselen laminalara en çok zarar veren durumlardan biridir. Bruksizm, çiğneme sırasında oluşan kuvvetten katbekat fazlasını dişlere uygular. Bu sürekli ve kontrolsüz basınç, yaprak porselenlerin çatlamasına ya da dişten ayrılmasına yol açabilir. Eğer diş sıkma alışkanlığınız varsa, diş hekiminiz büyük ihtimalle size özel bir gece plağı önerecektir. Geceleri bu plağı takmak, çeneler arasındaki kuvveti dengeler ve basıncı dişler yerine plak üzerine yönlendirir. Gece plağı, bu tedavinin uzun ömürlü olması için bir sigorta görevi görür.
Yaprak Porselenler Zamanla Renk Değiştirir mi?
Bu konu, estetik kaygısı olanların en çok merak ettiği şeylerden biridir. İyi haber şu ki, kaliteli bir porselenden yapılan laminate veneer, lekelenmeye karşı son derece dirençlidir. Porselenin yüzeyi cam gibi pürüzsüzdür ve gözeneksiz bir yapıdadır. Bu sayede kahve, çay, kırmızı şarap gibi doğal dişleri kolayca boyayan içeceklerin lekesini tutmaz. Yani yaprak porselenleriniz, yapıldığı günkü rengini yıllarca korur. Asıl dikkat edilmesi gereken, laminanın yapıştırıldığı kendi dişinizdir. Özellikle laminanın kenar kısımlarında zamanla lekelenmeler olabilir. Düzenli diş temizliği ve bakımla bu durumun önüne geçmek mümkündür.
Laminate Veneer Kırılırsa Ne Olur? Tamiri Mümkün mü?
Yaprak porselenler çok ince olmalarına rağmen dişe yapıştırıldıktan sonra oldukça dayanıklı hale gelirler. Ancak yine de sert bir darbe veya yukarıda sayılan kötü alışkanlıklar yüzünden kırılabilir veya çatlayabilirler. Kırılma durumunda yapılacak müdahale, hasarın boyutuna bağlıdır. Eğer laminanın ucundan çok küçük bir parça koptuysa, diş hekimi bu bölgeyi törpüleyip parlatarak estetik görünümü kurtarabilir. Ancak kırık daha büyükse veya lamina ortadan çatladıysa, tamir edilmesi pek mümkün olmaz. Porseleni ağız içinde ilk günkü gibi sağlam ve estetik bir şekilde onarmak zordur. Bu gibi durumlarda en doğru çözüm, laminayı tamamen söküp yerine yenisini yapmaktır. Bu yüzden laminaları travmalardan korumak çok mühimdir.
Porselen Laminaların Ömrünü Uzatmak İçin Neler Yapılabilir?
Tedavinin kalıcılığı büyük oranda sizin elinizdedir. Birkaç basit kurala uyarak porselen laminalarınızın ömrünü maksimuma çıkarabilirsiniz:
- Ağız bakımını aksatmayın: Günde en az iki kez, yumuşak kıllı bir fırça ve aşındırıcı olmayan bir diş macunu ile dişlerinizi fırçalayın. Her gün mutlaka diş ipi kullanarak lamina kenarlarını ve diş aralarını temizleyin.
- Düzenli kontrolleri ihmal etmeyin: Altı ayda bir diş hekiminize kontrole gidin. Bu ziyaretler, olası bir sorunun büyümeden tespit edilmesini sağlar.
- Dişlerinizi alet olarak görmeyin: Şişe kapağı açmak, ambalaj yırtmak, ip koparmak gibi işler için dişlerinizi değil, doğru aletleri kullanın.
- Sert gıdalara dikkat edin: Fındık, fıstık gibi kabuklu yemişleri dişlerinizle kırmaktan kaçının. Buz veya sert şekerleri çiğnemeyin.
- Diş sıkma için önlem alın: Eğer bruksizm sorununuz varsa, hekiminizin önerdiği gece plağını düzenli olarak takın.
- Spor yaparken koruyucu kullanın: Basketbol, dövüş sporları gibi temas içeren aktiviteler sırasında ağız koruyucusu (mouthguard) takmak, gelebilecek darbelere karşı laminalarınızı korur.
Ankara’da Güvenilir Yaprak Porselen Tedavisi
Bütün bu anlatılanlar, doğru kliniği ve hekimi bulmanın bu tedavinin başarısındaki yerini açıkça ortaya koyuyor. Uygulamanın her detayı, sonucun ne kadar estetik ve kalıcı olacağını belirler. Ankara’da, Çankaya bölgesinde bu konuda öne çıkan yerlerden biri Estelite Dental Clinic olarak bizim kliniğimizdir. 2020 senesinden bu yana “Gülüşünüz Bizim Uzmanlık Alanımız” sözüyle hareket ediyoruz. Her hastamız için kişiye özel bir tedavi rotası çizerek beklentileri en doğru şekilde karşılamayı hedefliyoruz.
Kliniğimizde, Protez ve Estetik Diş Hekimliği Uzmanı Dr. Kübra Kirişci ve Ağız, Diş ve Çene Cerrahisi Uzmanı Dr. Mustafa Burak Kirişci önderliğindeki ekibimizle hizmet veriyoruz. Yaprak porselen gibi estetik uygulamalar, Dr. Kübra Kirişci’nin uzmanlık alanına girmektedir. Tedavilerde hastalarımızın rahatı ve işlemin doğruluğu için 3 boyutlu dijital röntgen (CBCT), ağız içi tarayıcı ve kendi bünyemizdeki CAD/CAM laboratuvar altyapısı gibi güncel aletlerden faydalanıyoruz. Bu dijital sistemler, ölçü alımından laminaların tasarımına kadar her aşamada hata payını en aza indirerek mükemmel uyumu yakalamamıza yardımcı olur.


